Prise en charge des coliques sur le terrain
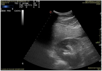
L’urgence la plus rencontrée sur le terrain reste la colique. Il est indispensable […]

L’urgence la plus rencontrée sur le terrain reste la colique. Il est indispensable […]
Présentation donnée à l'Académie Vétérinaire de France
Académie 2009.ppt.pdf 03_perrin.pdfPrésentation donnée à l'Académie Vétérinaire de France
AVF_169_1_5.pdfPrésentation donnée au Congrès Européen des Maréchaux Ferrants à Bergamo en 2008
Le clou Bergamo 2008.pdfPrésentation donnée à l'Académie Vétérinaire de France
AVF article 07_perrin_V1.pdfLa Clinique Equine Desbrosse est partenaire de l'Université de Namur et de Louvain-La-Neuve […]
OASIS report 2014 Décanat - copie.pdfReportage à la Clinique Equine Desbrosse
R1_Case_Vet_Clinique_Desbrosse_EN_8p.pdf